Porselen
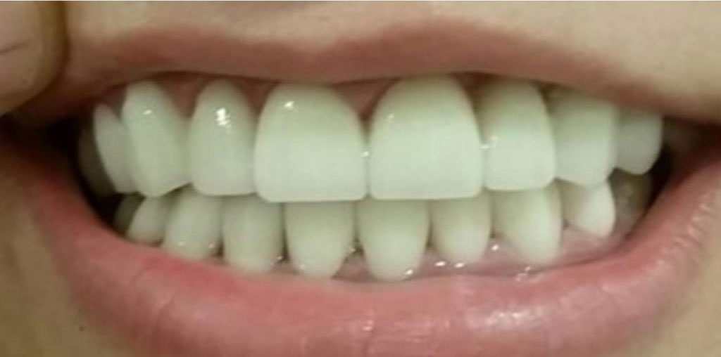
Günümüzün en modern ve gözde tedavi uygulamalarından birisi olan porselen kaplamalar farklı kaplama modelleri ile estetik anlamda kaygısı olan hastaların yüzünü güldürüyor.
Günümüzün en modern ve gözde tedavi uygulamalarından birisi olan porselen kaplamalar farklı kaplama modelleri ile estetik anlamda kaygısı olan hastaların yüzünü güldürüyor. Porselen kaplamalara çok ince tabakada ve dişin ön yüzeyine yapılmaktadırlar. Bu uygulamalar ön dişlerinden memnun olmayan hastalarda, dişleri sararmış, yıpranmış dişlerde, kırılan ve dişleri aralıklı olan hastalarda rahatlıkla uygulanabilmektedir. Bazı hastalar uzun süren ortodontik tedavileri yerine porselen kaplama uygulamalarını tercih etmektedir.
İyi bir diş hekimi uygulamasında çok iyi sonuçlar alan pporselen diş uygulamaları uzun yıllar herhangi bir aşınma, renk kaybı, kırılma olmadan ağızda yerlerini alırlar. Tek dişe uygulanabildikleri gibi komple diş uygulamalarıda yapılabilmektedir.
Diş porselen kaplamaları yeteri kadar temizlenmediğinde ve eksik yapılan bakım zaman içerisinde porselende bir takım sorunlar çıkarabilir. Özellikle sert cisimlerin ısırılması tıpkı doğal dişte olabileceği gibi porselen kaplamalarda da kırılmaya neden olabilmektedir. Kırılan porselen kaplamaların tamiri imkansızdır ve değiştirilmesi gerekmektedir. Diş porselen kaplamaları ısırış biçimine ve gece uyurken dişlerini sıkan hastalarda uygulanmayabilir. Bu hastalar zamanla diş protezlerini aşındıracak ve kıracaktır. Bu hastalara özel ağız plakları hazırlanmakta yada çenedeki problemler ortodontik işlemlerden geçirildikten ve tedavi edildikten sonra diş porselen uygulamaları yapılmaktadır.
Uygulanışlarına Göre Porselen Kaplama Modelleri
– Metal Destekli Porselen Kaplama Modelleri
Alt yapısı metal destekli olan porselen kaplamalardır. Bu porselen kaplamalar fonsksiyonel olarak ve sağlamlık olarak oldukça iyi olmasına karşın estetik olarak son derece zayıftır. Doğal dişler ışığı geçirgen özelliğine sahipken metal dişler ise ışığı yansıtırlar. Mat gözükürler ve damaklarda morarımsı bir iz oluştururlar. Bu nedenle ön dişlerde değilde genelde arka dişlerde tercih edilirler. Uygulama ücreti oldukça ekonomiktir.
– Metal destekli Protez Kaplama Köprü Modelleri
Diğer sağlam dişlerle beraber destek oluşturarak diş boşluklarının kapatılmasına kullanılan köprüler genellikle arka bölgedeki dişlerde tercih edilmektedirler.
– Zirkonyum Destekli Porselen Kaplama Modelleri
Alt yapısında zirkonyum destekli olan sağlam ve estetik görünümlü porselen kaplamalarıdır.
– Altın Destekli Protez Porselen Diş Kaplama Modelleri
– Altın ve Metal Destekli Protez Porselen Köprü Modelleri
– Full Estetik Porselen Modelleri
Alt yapısı porselen olan ve porselen destekli uygulamalardır. Maliyeti oldukça yüksek olan bu uygulamalar doğal dişe oldukça yakındır ve estetik olarak son derece başarılı uygulamalardır.
Bu internet sitesinde sizlere daha iyi hizmet sunulabilmesi için Çerezler kullanılmaktadır. Çerezler hakkında detaylı bilgi almak için
Çerez Politikası'nı inceleyebilirsiniz.

