Gülüş Tasarımı
Ağız bakımı denilince akla diş ağrısı, ağız kokusu ve diş kayıpları gibi problemlerin çözümü gelse de günümüzde diş ve diş etlerine bağlı gülüş estetiği de çok önemli bir yere sahiptir.
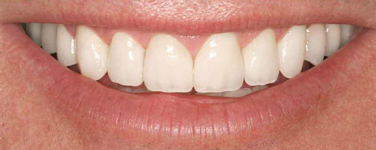
Ağız bakımı denilince akla diş ağrısı, ağız kokusu ve diş kayıpları gibi problemlerin çözümü gelse de günümüzde diş ve diş etlerine bağlı gülüş estetiği de çok önemli bir yere sahiptir. Çürük dişlerin, diş eti hastalıklarının, diş dizilimindeki çapraşıklıkların, anormal renklenmelerin ve diş kayıplarının sonucunda oluşan estetiksel sorunlar, kişilerin sosyal hayatlarını olumsuz olarak etkileyebilir. Bunun yanı sıra öz güven eksikliklerine neden olarak kişilerin toplum içinde gülmekten çekinmeye başlamasına bile yol açabilir.
Kişi kimi zaman da sağlıklı dişlere sahip olsa da diş ve diş etlerinin orantısızlığı, şekil ya da biçim bozukluklarını estetik anlamda iyileştirmek isteyebilir. Güzel bir gülüş,kişiye psikolojik olarak güç kazandırırken aynı zamanda karşısındaki insanlarda daha iyi bir intiba da uyandıracaktır.
Teknolojinin ve bilimsel çalışmaların ilerlemesiyle beraber artık pek çok yöntemle daha güzel gülüşler sağlanabilmekte ve "estetik diş hekimliği" kavramı hayatımızda daha çok yer etmektedir.
Bu internet sitesinde sizlere daha iyi hizmet sunulabilmesi için Çerezler kullanılmaktadır. Çerezler hakkında detaylı bilgi almak için
Çerez Politikası'nı inceleyebilirsiniz.

